Gudang Informasi

Can Ovarian Cancer Be Mistaken For Pcos : Pin on Health Tips - Due to pcos and ovarian cancer having some similar symptoms, they can be mistaken for one another.

Can Ovarian Cancer Be Mistaken For Pcos : Pin on Health Tips - Due to pcos and ovarian cancer having some similar symptoms, they can be mistaken for one another.
Can Ovarian Cancer Be Mistaken For Pcos : Pin on Health Tips - Due to pcos and ovarian cancer having some similar symptoms, they can be mistaken for one another.

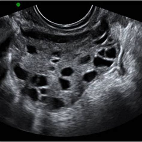
Can Ovarian Cancer Be Mistaken For Pcos : Pin on Health Tips - Due to pcos and ovarian cancer having some similar symptoms, they can be mistaken for one another.. It is why further medical testing is performed, so that they can distinguish just what is. 1 irregular periods, or a lack of periods, can cause the endometrium to build up and become thick. Communities > ovarian cancer > pcos. Pylori in women with polycystic ovarian syndrome was nearly double the rate for other women. Patients with polycystic ovarian syndrome often have painful periods, dr.

Women with pcos may be at higher risk for type 2 diabetes, high blood pressure, heart problems, and endometrial cancer. Ovarian cancer starts in the cells lining the ovaries. Why women with this disease may have a higher exposure or higher infection rate is not known. It is why further medical testing is performed, so that they can distinguish just what is. 40% of the pcos women showed evidence of exposure to h.

Pin on دواء
Pin on دواء from i.pinimg.com
Polycystic ovarian syndrome causes cysts, (also not cancerous), that suddenly occur in one or both ovaries. It is why further medical testing is performed, so that they can distinguish just what is. However, this risk could be because of possible cysts on the ovaries that may occur in some women with pcos. Ovarian cysts are a common occurrence among women of reproductive age. 1 irregular periods, or a lack of periods, can cause the endometrium to build up and become thick. By understanding a patient's family history and lifestyle, the nurse can encourage patients to take action that supports their health and. Why women with this disease may have a higher exposure or higher infection rate is not known. 14 year old with large ovarian cyst.

Around 90% of ovarian cancers occur in women.

So is there a connection between fibroids and polycystic ovarian syndrome (pcos)? Researches have shown that women with pcos have a high risk of ovarian cancer; Around 90% of ovarian cancers occur in women. However, most early ovarian tumors. If low levels of healthy bacteria can cause ovarian cancer, then it could rightly be inferred that bad vaginal hygiene habits may play a part in heightening the risk of ovarian cancer. Women with pcos may be at higher risk for type 2 diabetes, high blood pressure, heart problems, and endometrial cancer. Pcos can cause missed or irregular menstrual periods, excess hair growth, acne, infertility, and weight gain. A pelvic exam, when your ovaries and uterus are checked for size, shape and consistency, can sometimes detect some reproductive system cancers at an early stage. There's no cure, but a healthy lifestyle and hormonal therapies can mitigate symptoms. There are several types of ovarian cysts. However, this risk could be because of possible cysts on the ovaries that may occur in some women with pcos. Other ovarian cyst symptoms may include pelvic pain, high blood pressure, lower back pain, abdominal pressure and nausea. Other women have mistaken their swollen abdomen for being pregnant.

Pcos can cause missed or irregular menstrual periods, excess hair growth, acne, infertility, and weight gain. Ovarian cysts of less than 1 centimeter (0.4 inches) in size are common in postmenopausal women, the vast majority of which will be benign. It is why further medical testing is performed, so that they can distinguish just what is. Patients with polycystic ovarian syndrome often have painful periods, dr. This is a common phenomenon in late postmenopausal women, which can trigger swelling of the ovaries along with the formation of ovarian cysts.

Diet & Yoga Exercises For Ovarian Cyst | Ovarian cyst ...
Diet & Yoga Exercises For Ovarian Cyst | Ovarian cyst ... from i.pinimg.com
14 year old with large ovarian cyst. Only 22% for other women. There's no clear link between ovarian cancer and pcos. However, this risk could be because of possible cysts on the ovaries that may occur in some women with pcos. Ovarian cysts are a common occurrence among women of reproductive age. Learn about the connection between a missed period and ovarian cancer. This is a common phenomenon in late postmenopausal women, which can trigger swelling of the ovaries along with the formation of ovarian cysts. For example, heavy menstrual bleeding could be caused by a range of conditions, such as uterine fibroids, polyps, bleeding disorders, certain medications, or pelvic inflammatory disease, in addition to pcos.

Studies have not found a link between pcos and breast cancer formally.

To read more about pcos, click here. There's no clear link between ovarian cancer and pcos. This test can be useful as a tumor marker to help guide treatment in women known to have ovarian cancer, because a high level often goes down if treatment is working. However, ovarian cancer is usually not diagnosed until after it has spread and is difficult to cure. However, most early ovarian tumors. Ovarian cysts of less than 1 centimeter (0.4 inches) in size are common in postmenopausal women, the vast majority of which will be benign. Pcos can cause missed or irregular menstrual periods, excess hair growth, acne, infertility, and weight gain. Ovarian cancer and cysts have similar symptoms and signs, for example, pain during intercourse, pelvic pain, and urinary problems. Around 90% of ovarian cancers occur in women. Why women with this disease may have a higher exposure or higher infection rate is not known. Ovarian cysts with all of the features of ovarian cancer warrant the recommendation of removal of the cyst to definitively determine if it is benign or malignant. So basically i don't think that ovarian cancer could be mistaken for polycystic ovaries at this moment but on the other hand patients diagnosed with polycystic ovary syndrome are at risk of getting diabetes, hypertension and increased levels of triglyceride and cholesterol which could cause cardiovascular diseases. In fact, half of women with pcos get pregnant without any medical intervention.

This is a common phenomenon in late postmenopausal women, which can trigger swelling of the ovaries along with the formation of ovarian cysts. It is why further medical testing is performed, so that they can distinguish just what is. The danish cohort study found a link between pcos and endometrial cancer; To read more about pcos, click here. 1 irregular periods, or a lack of periods, can cause the endometrium to build up and become thick.

#PCOS Myths & Misconceptions so don't have them YET I have ...
#PCOS Myths & Misconceptions so don't have them YET I have ... from s-media-cache-ak0.pinimg.com
This test can be useful as a tumor marker to help guide treatment in women known to have ovarian cancer, because a high level often goes down if treatment is working. Missing a period can be a sign of something minor, or there's a small chance it could be ovarian cancer. It is commonly thought that ovarian cancer has few if any symptoms prior to reaching and advanced stage. Communities > ovarian cancer > pcos. Alan copperman, medical director at progyny , tells bustle. This is a common phenomenon in late postmenopausal women, which can trigger swelling of the ovaries along with the formation of ovarian cysts. Learn about the connection between a missed period and ovarian cancer. Pcos can cause missed or irregular menstrual periods, excess hair growth, acne, infertility, and weight gain.

There's no clear link between ovarian cancer and pcos.

Stay informed, educate patients, be alert for risk factors, encourage screening, and treat them with compassionate care. In fact, half of women with pcos get pregnant without any medical intervention. The onset of polycystic ovarian syndrome can bring about conditions that are also central to an environment that encourages the creation of cancer. There's no cure, but a healthy lifestyle and hormonal therapies can mitigate symptoms. It is commonly thought that ovarian cancer has few if any symptoms prior to reaching and advanced stage. Ovarian cysts are common among women of all ages. Ovarian cancer and cysts have similar symptoms and signs, for example, pain during intercourse, pelvic pain, and urinary problems. There's no clear link between ovarian cancer and pcos. There are several types of ovarian cysts. Likewise, while some research indicates a possible relationship between pcos and ovarian cancer, the human reproduction update suggests that you're no more likely to develop ovarian cancer than someone without pcos. The three women featured below were all diagnosed in their teens and 20s and had the characteristic. This test can be useful as a tumor marker to help guide treatment in women known to have ovarian cancer, because a high level often goes down if treatment is working. Pcos can be difficult to diagnose because some of its symptoms have a variety of potential causes.

Advertisement